您是否曾感覺鼠蹊部(腹股溝)或大腿前側隱隱作痛,剛開始以為只是拉傷,但漸漸地連走路都會一跛一跛,甚至晚上睡覺時也會痛醒?如果這種情況發生在 30 到 50 歲的青壯年身上,請提高警覺,這可能不是單純的肌肉拉傷或關節退化,而是俗稱「骨頭蛀掉」的「髖關節壞死 (Avascular Necrosis, AVN)」。
股骨頭缺血性壞死,是因為供應大腿骨頂端(股骨頭)的血液循環受阻,導致骨細胞因缺氧而死亡。若不及早介入,脆弱的骨頭會逐漸塌陷,最終導致關節徹底毀損。在宸新復健科,我們透過X光、高階超音波與精準評估,在骨頭塌陷前的「黃金救援期」,利用聚焦式體外震波與PRP增生注射,幫助血管新生與組織修復,為您爭取保留原生關節的機會。
🔍 找錯兇手延誤病情?髖關節壞死 vs. 髖關節退化
兩者都會造成鼠蹊部疼痛,但成因與好發族群完全不同。搞錯方向,可能會錯失治療的黃金期!
-
1
好發年齡與病史:
髖關節壞死: 常見於 30-50 歲青壯年。多有長期飲酒、使用類固醇(如免疫疾病患者)、或曾受過潛水夫病、髖部骨折脫臼等病史。
髖關節退化: 多見於 50 歲以上中老年人,或長期從事粗重勞動者,屬於軟骨自然磨損。 -
2
疼痛特徵:
髖關節壞死: 痛感通常進展較快,甚至在休息或夜間睡覺時也會產生抽痛。
髖關節退化: 初期通常是「啟動痛」(剛起身時痛),活動一陣子後緩解,過度走動後又會加劇,休息通常能緩解。 -
3
影像學表現 (X光/MRI):
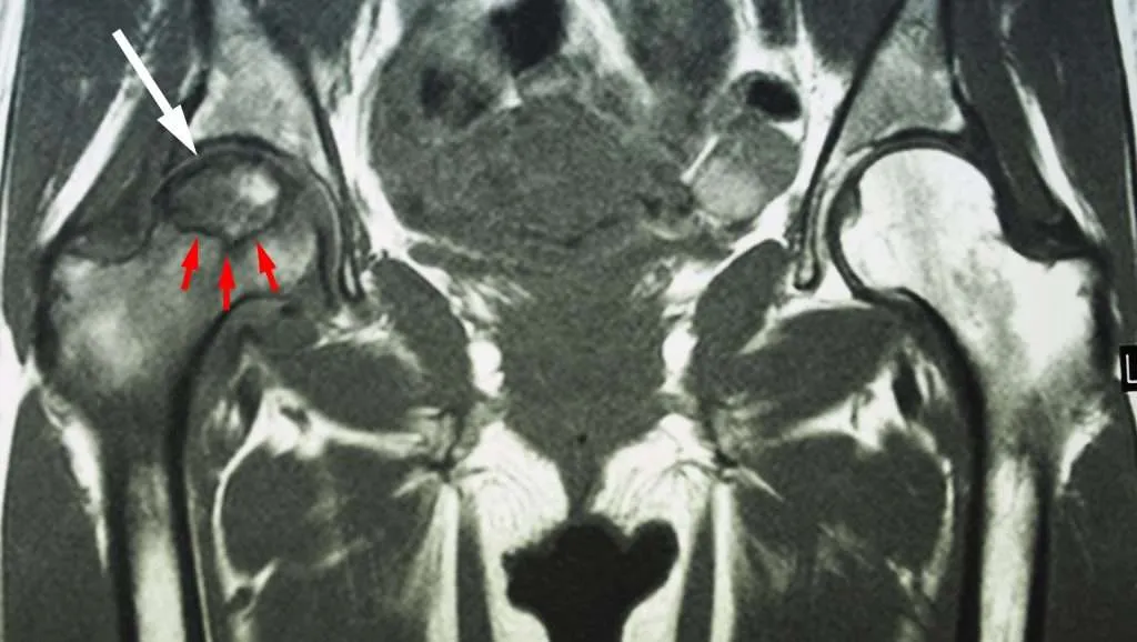
髖關節壞死: 初期X光可能正常(需靠MRI確診),中後期會出現股骨頭硬化、空洞,甚至呈現「新月形」塌陷。
髖關節退化: X光會顯示關節間隙變窄、軟骨下骨硬化,以及邊緣長出「骨刺」。
📉 股骨頭壞死的四個階段與應對策略
骨頭壞死是一個漸進的過程,越早發現,免於開刀換人工關節的機率就越高:
- 第一期 (Stage I): X光看不出異常,但核磁共振 (MRI) 可見骨髓水腫。此時會有輕微疼痛。治療重點: 減輕負重(拿拐杖)、物理治療,並積極介入震波與注射治療,約八成免於開刀。
- 第二期 (Stage II): X光顯示股骨頭內有硬化或囊腫,但股骨頭尚未塌陷,仍維持圓形。治療重點: 這是保守治療的「最後黃金期」!強烈建議密集使用震波與PRP,約六成免於開刀,必要時轉介骨科進行核心減壓手術。
- 第三期 (Stage III): X光出現「新月徵象」,代表軟骨下的骨頭已經開始微幅塌陷,疼痛加劇,走路明顯跛行。治療重點: 視塌陷程度,部分患者仍可嘗試高濃度PRP緩解疼痛與體外震波與延緩惡化,但多數需評估手術介入。
- 第四期 (Stage IV): 股骨頭嚴重塌陷變形,連帶造成髖臼磨損(次發性退化性關節炎)。治療重點: 通常需要進行「人工髖關節置換手術」。
🛡️ 宸新全方位治療:重建微循環,搶救股骨頭
針對第一、第二期(未塌陷)的患者,我們的目標是「刺激血管新生」並「提供修復原料」:
1. 打通血路,刺激生長:聚焦式體外震波 (ESWT)
體外震波已被國際文獻證實是治療早期髖關節壞死的有效利器。高能量的聲波能穿透組織直達股骨頭,產生「微小破壞」,這能喚醒身體的自癒機制,促進血管內皮生長因子 (VEGF) 的釋放,幫助缺血的骨頭「長出新血管」,重新獲得營養供應。
2. 注入修復大軍:超音波導引 PRP 增生注射
PRP (高濃度血小板血漿) 富含生長因子。透過高解析超音波導引,醫師會將 PRP 精準注射至髖關節腔內或周邊受損的韌帶、肌腱。
- 抑制發炎: 大幅降低關節內的發炎反應,快速緩解疼痛。
- 促進修復: 協同震波的血管新生作用,提供骨細胞與軟骨細胞修復所需的強大養分,穩固關節結構。
3. 減輕關節壓力:徒手治療與運動處方
疼痛會導致髖部周圍肌肉(如臀中肌、髂腰肌)緊繃與萎縮。物理治療師會利用徒手放鬆周圍筋膜,並教導「非負重狀態下」的肌力訓練(如水中運動、騎固定式腳踏車),幫助穩定骨盆,減輕股骨頭的壓力。

💪 醫師教你做:居家護髖肌力訓練
透過溫和的臀部肌肉訓練,能幫助穩定骨盆並減輕髖關節的負擔。請在「不產生疼痛」的範圍內,緩慢且規律地進行以下運動:
1. 仰臥橋式
平躺於床面或瑜珈墊上,雙膝微彎,雙腳踩地與肩同寬。收緊臀部肌肉,慢慢將骨盆向上抬起,直到肩膀、臀部與膝蓋呈一直線。停留 3-5 秒後慢慢放下,重複 10 次。這能有效喚醒臀大肌,且對髖關節的壓力較小。
2. 溫和蚌殼式
側躺,下方手臂可枕在頭下,雙膝彎曲約 45 度,雙腳跟併攏。在身體與骨盆不往後翻轉的前提下,像蚌殼一樣慢慢將上方膝蓋打開,感受到臀部側面(臀中肌)出力即可。稍微停留後合起,每側重複 10 次。此動作能強化骨盆側面的穩定度。
3. 側躺直腿側抬
側躺,下方腿微彎保持平衡,上方腿伸直。將上方腿輕輕向正上方抬起約 30-45 度,腳尖可微微朝下,感受臀部外上方肌肉收縮。動作請保持緩慢,不要利用慣性甩動,每側重複 10 次。
4. 站姿後伸腿
站立並雙手扶著堅固的椅背或牆壁保持平衡。身體挺直,將一側的腿向正後方伸直抬起。請注意腰部不要跟著過度凹陷(避免骨盆前傾),專注於收縮臀部肌肉。停留 2 秒後放下,每側重複 10 次。
👨⚕️ 把握黃金救援期,保住原生髖關節!
髖關節壞死就像是骨頭的「心肌梗塞」,是一場與時間賽跑的疾病。只要在骨頭塌陷前及早診斷,透過減輕負重、體外震波刺激血管新生,以及 PRP 注射修復,有極高的機會能阻止惡化,免於置換人工關節的命運。如果您有不明原因的鼠蹊部疼痛,請務必盡早就醫評估!
鼠蹊部隱隱作痛?走路會跛?立即預約專業醫師超音波評估!