



📋 本文重點摘要
PRP(高濃度血小板血漿)增生療法是目前有最多高品質隨機對照試驗支持的骨科非手術再生治療之一。根據 2025 年整合 40 項研究的系統性回顧[1],PRP 注射在輕至中度退化性膝關節炎(I–III 級)上,疼痛改善及功能恢復均優於玻尿酸與類固醇。2024 年 Mayo Clinic 的統合分析納入 1,993 名患者,PRP 相較玻尿酸,治療成功率的勝算比高達 2.1 [2]。對於旋轉肌腱病變,2024 年雙盲 RCT 顯示 PRP 在 12 個月追蹤期的疼痛與功能恢復均顯著優於類固醇[3]。高濃度葡萄糖水(增生療法)則於 837 名患者的系統性回顧中被認定安全且具 B 級實證支持[4]。療效的核心關鍵在於:精準診斷 + 超音波導引確保注射到位 + 標準化離心濃度(建議 4–5 倍濃度)。任一環節缺失均可能導致治療失敗。
疼痛總是如影隨形,讓你無法享受生活?傳統的消炎藥或類固醇雖然能暫時止痛,卻無法修復受損的組織。位於新竹的宸新復健科,專為新竹科學園區與在地民眾提供高濃度血小板血漿 (PRP) 增生療法及高濃度葡萄糖水,這是一種啟動人體自我修復機制的先進治療。
透過抽取自身血液,離心萃取出富含生長因子的血小板,再經由高解析超音波精準導引注射至受傷部位。就像是為受損的肌腱、韌帶或關節打入一劑強效的「修復工程隊」,從根本解決疼痛問題,讓您重習活動力。
📢 為什麼選擇宸新 PRP 增生療法?
許多人打過 PRP 覺得沒效,很大的原因是「沒打對位置」或「濃度不夠」。宸新復健科提供竹北與新竹市區民眾最高規格的治療標準:
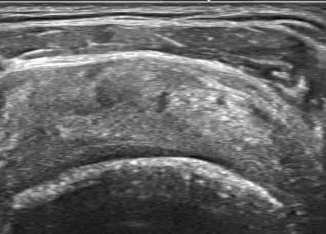
- 1醫學中心級超音波導引: 我們不靠「手感」盲打。每一針都透過高解析度超音波即時顯像,避開神經血管,精準將 PRP 送達受損組織深處。
- 2高濃度萃取技術: 採用專利離心管與標準化流程,確保萃取出的血小板濃度達到修復所需的黃金標準(約血液濃度的 5 倍以上)。研究顯示,4.5 倍濃度的 PRP 可顯著提升 VEGF、PDGF-AB 等關鍵生長因子[5]。
- 3
- 4收費標準:高濃度葡萄糖:1200元。高濃度血小板(PRP):15000元。
👨⚕️林羿辰醫師觀點:PRP 真的非打不可嗎?
依據我過去 10 年的臨床經驗,許多患者以為打一針就好。身為復健科醫師與運動教練,我常被問到:「林醫師,我是不是一定要打 PRP 才會好?」其實,PRP 療效關鍵在於「精準診斷」與「精準注射」。
1. 診斷先於治療,而非大砲打小鳥
並非所有疼痛都適合 PRP。例如鈣化性肌腱炎,震波效果通常優於注射;許多輕微受傷透過高濃度葡萄糖就能獲得改善,不需一開始就花大錢打 PRP。
2. 超音波導引:差之毫釐,失之千里
注射位置不精準是失敗主因。我們堅持全程搭配高解析超音波導引,確保藥物精準打到患部撕裂處,這才是決定療效的最後一哩路。
3. 高品質的 PRP 離心技術
研究顯示 3~5 倍濃度 最適合[6]。濃度並非越高越好,超過 5 倍會過於濃稠,就像鹽水灑在傷口,反而會造成劇烈疼痛與發炎。
🔬 什麼是 PRP?治療原理大解密
PRP 全名為 Platelet-Rich Plasma,意指「富含血小板的血漿」。大家熟知的血小板功能是止血,但其實它還富含多種生長因子,包括 PDGF(血小板衍生生長因子)、TGF-β(轉化生長因子)、VEGF(血管內皮生長因子)、IGF-1、EGF 等[7]。這些生長因子在注射後會依序釋放:PDGF-AB 最早在注射後 8 小時達峰值,EGF 在第 7 天,VEGF 則在第 14 天才達到高峰[5],多階段協同促進組織癒合。
當組織受傷時,身體會啟動修復機制,但隨著年齡增長或反覆受傷,這個機制會變慢甚至停滯。PRP 治療就像是按下「快轉鍵」,直接將高濃度的生長因子注入受傷部位。PRP 同時能抑制 IL-1β 和 TNF-α 等促炎因子,改善滑液成分,並促進玻尿酸合成,對關節微環境具有調節作用[8]。

🎯 誰適合打 PRP?適應症列表(附文獻實證)
- 退化性關節炎(膝蓋、髖部、肩膀): 最有實證支持的適應症。2024 年 Mayo Clinic 統合分析(1,993 名患者)顯示,PRP 較玻尿酸治療成功率高出 2.19 倍[2];18 項 RCT 的統合分析(1,995 名患者)亦顯示 PRP 治療效果在 3 個月及 6 個月均超越最小臨床重要差異[6]。
- 旋轉肌腱病變與旋轉肌袖部分撕裂: 2024 年雙盲 RCT(100 名患者)顯示,PRP 單次注射在 12 個月後疼痛及功能改善均顯著優於類固醇,且治療失敗率更低[3];2021 年的雙盲 RCT 亦顯示 PRP 在 3 個月時的 VAS 及 ASES 分數優於類固醇[9]。
- 網球肘(外側肱骨上髁炎): 2024 年的系統性回顧與統合分析(730 名患者,11 項 RCT)顯示,PRP 在 6 個月以上的長期疼痛改善及功能顯著優於類固醇[10];另有系統性回顧(2,420 名患者,33 項研究)確認各型 PRP 均有效[11]。
- 足底筋膜炎: 系統性回顧顯示 PRP 在長期功能改善上顯著優於類固醇[12]。美國退伍軍人署 2024 年系統性回顧亦支持其在足底筋膜炎的應用[13]。

💉 超音波導引:精準醫療的靈魂
在宸新復健科,我們堅持「眼見為憑」。醫師能將針頭精準引導至病灶核心,大幅提升治療成功率並減少疼痛。研究指出,超音波導引可確保 PRP 精準送達目標組織,是影響治療結果的關鍵因素[14]。

🏥 治療流程:四步驟重啟修復力
- 血液抽取: 抽取約 10~20cc 的血液。
- 離心濃縮: 透過物理離心力萃取出高濃度的血小板(目標達基準 4–5 倍,約 1,000,000/µL 以上)[6]。
- 精準注射: 在超音波導引下注入 PRP。
- 衛教與修復: 聆聽衛教後即可返家。

⚖️ 治療比較:PRP vs. 葡萄糖水 vs. 類固醇
1. PRP vs. 高濃度葡萄糖水

這兩者皆屬於增生療法 (Prolotherapy),核心邏輯都是藉由誘發輕微發炎來啟動修復機制。高濃度葡萄糖水是透過滲透壓產生「人為發炎」來喚醒免疫系統。系統性回顧(837 名患者,11 項 RCT)顯示葡萄糖水在膝關節炎疼痛與功能改善上具 B 級實證,且無重大副作用[4];2024 年統合分析亦確認其能顯著降低疼痛及關節僵硬[15]。而 PRP (自體血小板) 則是直接注入生長因子,跳過喚醒階段直接提供修復原料。整體而言,PRP 的修復效率較高、所需次數較少,適合預算充足或希望加速復原的患者;兩者比較時,PRP 在 6 個月的僵硬評估上優於葡萄糖水[4]。
2. 增生療法 vs. 類固醇 (消炎針)

這是兩種截然不同的治療思維:類固醇主要用於「抑制發炎」,能快速緩解急性疼痛,但多次注射可能導致組織脆化;增生療法則是「促進發炎」,目標是強化結構。以網球肘為例,類固醇短期(1 個月)疼痛改善較快,但 3 個月後 PRP 開始反超,6 個月時 PRP 疼痛與功能評分均顯著更優[16]。簡單來說,類固醇像關掉警報,適合處理急性火災(劇痛);增生療法則像施工隊,適合重建老舊受損的房子(慢性勞損、退化)。
❌ 3 個常見 PRP 迷思,醫師幫你反向查證
❌ 迷思一:「PRP 濃度越高,效果越好」
事實: 這是最常見的誤解。2025 年的系統性回顧與統合分析(18 項 RCT,1,995 名患者)設定 100 萬/µL(約 4–5 倍濃度)為分水嶺,發現超過此閾值後療效並未線性增加[6]。過度濃縮的 PRP 血小板密度過高,反而可能因過強的局部發炎反應造成更多疼痛,甚至抑制細胞增殖。2021 年針對 150 名退化性膝關節炎患者的 RCT 發現,10 億血小板劑量的精準控制(非越多越好)才是達到長期軟骨保護效果的關鍵[17]。
❌ 迷思二:「打完 PRP 馬上見效,沒效就是騙人的」
事實: PRP 的生長因子釋放遵循時間動力學,PDGF-AB 在 8 小時內達峰,VEGF 需要 14 天,軟組織重塑則可能持續 3–6 個月[5]。多項 RCT 一致顯示:PRP 組在 6 週至 3 個月才開始明顯超越對照組,在第 6–12 個月時達到最佳療效差距[10][3]。如果以「打完一週沒感覺」就認定無效,正好是錯過修復最活躍的時期。建議至少追蹤至 3 個月再評估療效。
❌ 迷思三:「只要是自己的血,PRP 就一定安全有效」
事實: 自體血液確實幾乎無過敏風險,安全性高。然而「安全」不等於「有效」。療效取決於三大關鍵變數:① 離心技術與血小板濃度標準化、② 注射位置精準度(超音波導引 vs. 徒手盲打)、③ 術後是否避免 NSAIDs 影響修復發炎期。研究指出不同製備方法導致 PDGF、TGF-β、VEGF 等生長因子濃度可相差 10 倍以上,直接影響臨床結果[18]。因此,選擇具有標準化流程的醫療機構,與接受治療本身同等重要。
🩹 PRP 療法後注意事項

1. 避免消炎藥物 (NSAIDs)
PRP 是利用啟動發炎反應來促進修復,因此應避免使用消炎類藥物(如:阿斯匹靈、布洛芬等),以免阻擋組織癒合。若注射後有明顯酸痛感,建議選用不含消炎成分的止痛藥(如:普拿疼 Acetaminophen)。
2. 均衡營養攝取
修復受損組織需要足夠的「建築原料」。建議在療程期間補充:
- 優質蛋白質:修復的基本構成。
- 維他命 B、C:協助細胞呼吸與能量代謝。
- 必須脂肪酸:促進細胞膜修復與減少不良發炎。
3. 循序漸進的復健運動
適度的物理活動能增加局部循環,加速修復效果。請遵循「循序漸進」原則進行肌力與關節訓練:
- 安全性:若出現尖銳的刺痛或劇烈拉扯感,應立即暫停。
- 專業指導:強烈建議搭配物理治療師制定的運動處方,以達到最佳的功能復原。





