當您發現家中的孩子肩膀一高一低,或是彎腰時背部某一側異常凸起,這可能不只是單純的「姿勢不良」,而是脊椎側彎 的警訊。在台灣,青少年脊椎側彎的發生率約為 3-5%,若錯過黃金治療期,側彎角度可能會隨著身高抽高而急速惡化,不僅影響外觀自信,成年後更可能導致嚴重的背痛與心肺功能受損。
治療脊椎側彎,「監測」與「精準運動」缺一不可。宸新復健科打造了新竹少見的「脊椎側彎整合治療中心」,我們不只提供治療,更擁有院內 X 光機可隨時追蹤角度變化,並引進特殊的脊椎側彎矯正訓練架,由受過專業訓練的物理治療師一對一指導,協助您對抗地心引力,將彎曲的脊椎「練」回來。

📢 什麼是脊椎側彎?這是一個「3D 立體」的變形
很多人以為脊椎側彎只是脊椎往左或往右彎(2D 平面),只要用力往反方向凹回來就好?這是大錯特錯的觀念!
-
1
螺旋狀旋轉 (Rotation): 真正的脊椎側彎包含椎體的「旋轉」。想像一條擰乾的毛巾,脊椎在側彎的同時也發生了扭轉,這會帶動肋骨變形,造成背部單側隆起(剃刀背, Rib Hump)。
-
2
C 型 vs. S 型: 側彎可能呈現單一弧度的 C 型,或是代償後出現兩個弧度的 S 型。每一種型態的施力點與矯正方向都完全不同。
-
3
惡化的關鍵期: 青春期(10-18歲)的身高快速生長期是側彎惡化最快的時期。骨頭長得越快,彎得越快。一旦骨垢線閉合(長大成人),矯正難度將大幅增加。

🔍 亞當式前彎測試:在家就能做
家長可以透過「亞當式前彎測試 (Adam's Forward Bend Test)」進行初步篩檢:
- 讓孩子雙腳併攏站立,雙手合掌自然下垂。
- 膝蓋打直,身體慢慢向前彎腰 90 度。
- 家長從孩子的正後方觀察背部水平。
- 結果: 如果發現背部一邊高、一邊低(單側隆起),這就是脊椎旋轉的證據,極高機率患有脊椎側彎。

🛡️ 宸新三大優勢:為什麼選擇我們?
治療脊椎側彎是一場與時間的賽跑,也是一場精準的力學戰爭。我們整合了影像、器材、人力,提供醫院等級的照護:
優勢一:院內X光機🔍️,隨時追蹤
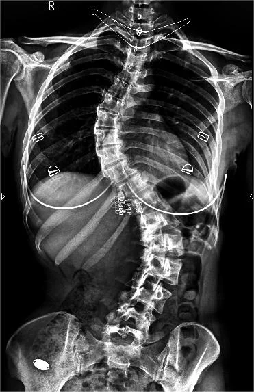
不用再去大醫院排隊等片子! 側彎的角度(Cobb Angle)變化是治療成效的唯一指標。宸新復健科配置專業 X 光設備:
- 即時診斷: 初診當下立刻拍攝全脊椎影像,醫師直接測量角度,判斷是否需要背架或復健。
- 精準監控: 復健每 3-6 個月需重新拍攝,確認側彎是否有惡化或改善。

優勢二:脊椎側彎專用矯正架🔍️
對抗地心引力的秘密武器。 這不是一般的健身器材,而是類似德國施羅斯 (Schroth) 概念的懸吊系統。
- 3D 懸吊: 利用繩索與帶子,將身體懸掛在特定角度,利用地心引力幫助脊椎「去旋轉 (De-rotation)」。
- 被動伸展 + 主動發力: 在矯正架上,我們可以固定骨盆(地基),讓患者針對塌陷的胸廓進行「旋轉式呼吸」,由內而外撐開凹陷的脊椎。這是徒手治療難以做到的精準度。

優勢三:專業物理治療師一對一指導🔍️
側彎矯正運動非常複雜,做錯比沒做更糟。 我們的治療師受過脊椎側彎特定運動的專業訓練。
- 客製化運動: 每位患者的彎曲方向不同(胸椎右彎、腰椎左彎等),治療師會設計專屬的「反向運動」。
- 大腦重塑: 側彎患者的大腦已經習慣歪斜的身體(覺得歪的才是正的)。治療師利用鏡子、觸覺回饋,重新訓練大腦的「本體感覺」,讓患者學會什麼才是「正」的姿勢。
📊 治療黃金階梯:Cobb Angle 決定策略
透過 X 光測量出的柯氏角 (Cobb Angle),決定了我們的治療方針:
- 0° - 20° (輕度): 黃金觀察期。 重點在於「特定矯正運動」與「姿勢調整」,目標是防止惡化。
- 20° - 40° (中度): 積極治療期。 必須穿戴「矯正背架 (Brace)」,並搭配高強度的「矯正架運動」。目標是矯正角度與維持外觀。
- > 40° (重度): 手術評估期。 若快速惡化影響心肺功能,可能需轉介骨科評估手術。但術前術後仍需復健維持柔軟度。
👨⚕️ 挺直背脊,找回自信!
脊椎側彎是一場持久戰,家長與孩子的配合至關重要。宸新提供「X光檢測、背架諮詢、矯正架運動」的一站式服務。不要等到背部隆起才後悔,趁著骨骼還在生長,讓我們幫孩子把脊椎「拉」回來!
懷疑孩子有側彎?立即預約 X 光檢測!
