「看著螢幕上那顆白色的石頭一點一點被洗出來,我心裡的重擔好像也跟著放下了。原來,我的肩膀是真的可以不痛的。」
肩膀痛起來,真的會讓人懷疑人生。
這次來到診間的,是一位50歲的大姐。她一坐下,臉上就寫滿了疲憊與無奈。這幾個月來,她的肩膀像是被鎖住了一樣,手舉不高、穿衣困難,最近更是惡化到劇烈疼痛,不僅工作大受影響,連晚上的睡眠都成了奢求。
以為是救星,卻打了個寂寞?震波無效的真相
「醫師,我真的什麼都試過了...」她嘆了口氣。
在來到宸新之前,她在其他診所被診斷為鈣化性肌腱炎。為了治好它,她非常配合治療,不僅急性發作時打了類固醇,甚至忍痛做了好幾十次的震波治療。但讓她崩潰的是,錢花了、痛忍了,那種鑽心的痛卻始終如影隨形。
後來,她在朋友介紹下,抱著最後一絲希望來到這裡。她聽說我們有進口的高能量體外震波儀器,而且每次施打前都會用超音波精準定位,心想:「這次總該有效了吧?」
當高能量震波也遇到「鐵板」
初次評估時,我也推測可能是之前的治療定位不夠精準,或是儀器能量穿透力不足。於是,我們在超音波導引下,精確鎖定鈣化點,進行了幾次聚焦式體外震波治療。
然而,令人意外的是,即便用上了最強的武器,那顆鈣化點依然不動如山,疼痛改善非常有限。
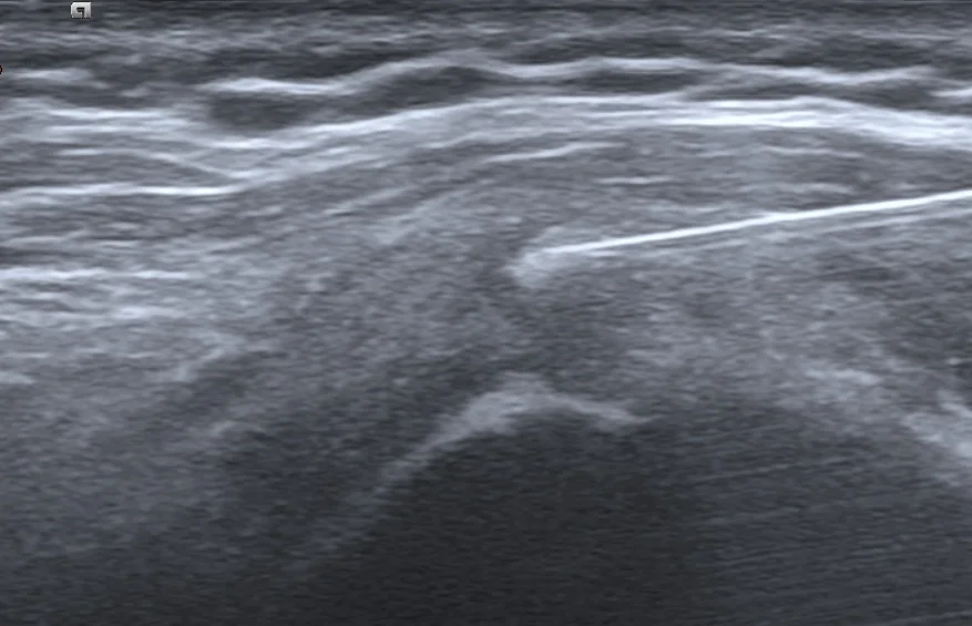
「這顆鈣化太頑固了,太硬、太大,光靠從外面打震波,可能打不散。」看著超音波影像中那團亮白色的結石,我向患者提出了一個更直接的方案:「我們換個方式,直接進去把它『洗』出來吧!」
超音波導引鈣化沖洗:眼見為憑的「掏石」工程
這項技術叫做「超音波導引鈣化沖洗術」 (Barbotage)。我們在即時超音波的監控下,將針頭精準地引導至鈣化中心,利用生理食鹽水反覆沖洗、抽吸。

治療過程中,螢幕上的畫面就像是挖掘工程。一開始那顆巨大的白色結石,隨著我們不斷地沖洗、抽出粉筆灰般的鈣化物,體積肉眼可見地開始縮小、崩解。患者看著螢幕,驚訝地說:「原來裡面真的有這麼多東西!」

到了治療尾聲,那顆原本巨大的「路障」,幾乎已經看不到了。

針筒中沖洗出來的鈣化。

兩週後的笑容:重拾正常生活
兩週後回診,大姐是笑著走進診間的。
「醫師,這次真的不一樣了!」她興奮地轉動手臂給我看。不僅疼痛感大幅下降,原本卡住的角度也終於鬆開了。她說,終於不用再提心吊膽地過日子,工作和生活都回到了正軌。
看著她輕鬆的動作,證明了對於頑固型的鈣化,精準的「沖洗」往往能突破震波治療的瓶頸,帶來真正的解脫。
醫師手札
「鈣化性肌腱炎的治療不是只有一種。有些鈣化處於『吸收期』,質地像牙膏,這時候震波效果不佳,反而用針抽吸沖洗效果最好;有些則是太過堅硬陳舊,震波也難以震碎。透過超音波精準判斷鈣化的『質地』與『大小』,選擇對的武器(震波或沖洗),才能讓病人少受罪,快點好。」



