走路時總是覺得「該邊」(鼠蹊部)隱隱作痛?穿襪子、剪腳指甲變得越來越困難?小心,這可能不是單純的肌肉拉傷,而是退化性髖關節炎正在悄悄侵蝕您的行動力。
髖關節是人體最大的負重關節,支撐著我們跑、跳、走的每一步。宸新復健科提供從精準影像診斷、徒手物理治療到再生醫學 (PRP) 的整合照護,助您保養關節,找回輕盈的步伐。
📢 為什麼髖關節會退化?不只是老人的專利
退化性髖關節炎是因長期負重與磨損,導致關節軟骨逐漸變薄、消失的疾病。雖然常見於中老年族群,但以下高風險族群也需提早警覺:
-
1
體重過重: 行走時髖關節需承受體重 3 倍的壓力。體重每增加 1 公斤,關節負擔就增加 3~4 公斤。
-
2
舊傷或發育不良: 曾經骨折、脫臼,或是先天性髖關節發育不良 (DDH),都會讓關節受力不均,加速磨損。
-
3
股骨頭缺血性壞死 (AVN): 長期使用類固醇或酗酒者,易導致股骨頭血液循環受阻而壞死塌陷,最終引發嚴重退化。
⚡ 別搞錯!髖關節痛不是屁股痛
這是民眾最常混淆的觀念。真正的髖關節病變,痛點通常不在屁股後面(那是坐骨神經或梨狀肌的問題),而是集中在腹股溝(鼠蹊部/該邊),有時會延伸到大腿前側或膝蓋內側。
常見的三大警訊:
- 晨間僵硬 (Morning Stiffness): 早上起床時關節像卡住一樣,活動 10-20 分鐘後才會比較順。
- 活動受限 (ROM Loss): 發現很難翹二郎腿、穿襪子要把腳抬很高很吃力、無法蹲低。
- 跛行 (Limping): 走路一跛一跛,身體會偏向患側(這是一種為了減輕疼痛的代償步態)。
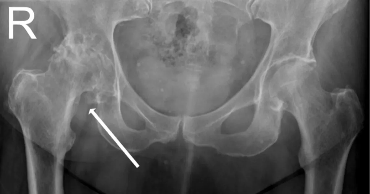
🔍 X 光下的真相:軟骨去哪了?
透過 X 光檢查,我們可以清楚看到關節退化的程度。正常的髖關節,圓球狀的股骨頭與骨盆之間應該有一條黑色的縫隙,那就是健康的軟骨。
但在退化性關節炎的影像中(如下圖),您會發現:
- 關節間隙變窄: 如下圖箭頭所示,原本的縫隙消失了,代表軟骨已經磨損殆盡,變成「骨頭磨骨頭」。
- 骨刺增生 (Osteophytes): 骨頭邊緣長出尖銳的骨刺。
- 軟骨下骨硬化 (Sclerosis): 骨頭顏色變白、變硬。

🛡️ 治療三部曲:保養、修復、重建
髖關節退化不可逆,但我們可以「延緩」惡化並「改善」疼痛。宸新復健科採用階梯式治療策略:
1. 基礎保養 (減重與物理治療)
減重是特效藥。研究顯示,每減輕 1 公斤體重,行走時髖關節的負擔就減少 4 公斤!搭配徒手治療放鬆緊繃的髂腰肌與內收肌群,增加關節活動角度,並利用儀器治療緩解發炎。
2. PRP 增生療法 (促進軟骨修復)
對於中度退化、不想開刀的患者,PRP (高濃度血小板) 注射是極佳的選擇。醫師會在超音波導引下,將生長因子精準注入狹窄的關節腔內。這能抑制發炎、減緩軟骨磨損速度,並改善關節潤滑液的品質,就像幫生鏽的齒輪上了頂級潤滑油。
3. 運動訓練 (天然護具)
臀中肌是穩定髖關節最重要的肌肉。透過正確的肌力訓練(如側抬腿、蚌殼式),能強化肌肉力量,分擔關節承受的壓力。這比任何護具都來得有效。
🧘♂️ 日常保養小叮嚀
- 減少負重: 避免頻繁上下樓梯、爬山或深蹲,這些動作會對髖關節造成巨大壓力。
- 輔具使用: 疼痛嚴重時,請不要排斥使用登山杖或拐杖(拿在好邊),這能大幅分擔患側壓力。
- 水中運動: 游泳或水中走路是最好的運動,水的浮力能支撐體重,讓關節在無負擔的情況下活動。

💪 醫師教你做:居家護髖肌力訓練
透過溫和的臀部肌肉訓練,能幫助穩定骨盆並減輕髖關節的負擔。請在「不產生疼痛」的範圍內,緩慢且規律地進行以下運動:
1. 仰臥橋式
平躺於床面或瑜珈墊上,雙膝微彎,雙腳踩地與肩同寬。收緊臀部肌肉,慢慢將骨盆向上抬起,直到肩膀、臀部與膝蓋呈一直線。停留 3-5 秒後慢慢放下,重複 10 次。這能有效喚醒臀大肌,且對髖關節的壓力較小。
2. 溫和蚌殼式
側躺,下方手臂可枕在頭下,雙膝彎曲約 45 度,雙腳跟併攏。在身體與骨盆不往後翻轉的前提下,像蚌殼一樣慢慢將上方膝蓋打開,感受到臀部側面(臀中肌)出力即可。稍微停留後合起,每側重複 10 次。此動作能強化骨盆側面的穩定度。
3. 側躺直腿側抬
側躺,下方腿微彎保持平衡,上方腿伸直。將上方腿輕輕向正上方抬起約 30-45 度,腳尖可微微朝下,感受臀部外上方肌肉收縮。動作請保持緩慢,不要利用慣性甩動,每側重複 10 次。
4. 站姿後伸腿
站立並雙手扶著堅固的椅背或牆壁保持平衡。身體挺直,將一側的腿向正後方伸直抬起。請注意腰部不要跟著過度凹陷(避免骨盆前傾),專注於收縮臀部肌肉。停留 2 秒後放下,每側重複 10 次。
👨⚕️ 別讓疼痛限制了您的世界!
髖關節退化雖然不可逆,但透過正確的治療與保養,您依然可以擁有高品質的生活。若您有鼠蹊部疼痛或活動受限的困擾,請盡快至宸新復健科評估,讓我們幫您保住珍貴的關節!
走路卡卡不順?立即預約專業檢查!